Những nội dung chính:
- Cạo vôi răng là gì?
- Vì sao nên cạo vôi?
- Cạo vôi có đau không?
- Vì sao chảy máu khi cạo vôi?
- Cạo vôi có làm hư men răng không?
- Những trường hợp nào thì nên cạo vôi?
- Bao lâu thì nên cạo vôi 1 lần?
- Nên cạo vôi ở đâu?

Home » CẠO VÔI RĂNG
Bảng giá cạo vôi răng tại Nha khoa An An – Quận 8 – TP.HCM
| Cạo vôi răng + Đánh bóng | Chi phí |
|---|---|
| Vôi răng ít | 150.000/2 hàm |
| Vôi răng nhiều | 200.000/2 hàm |
| Vôi răng rất nhiều | 250.000/2 hàm |
Những nội dung chính:

Nha khoa An An xin trả lời những câu hỏi trên bằng những kiến thức và kinh nghiệm thực tế mà chúng tôi có được.
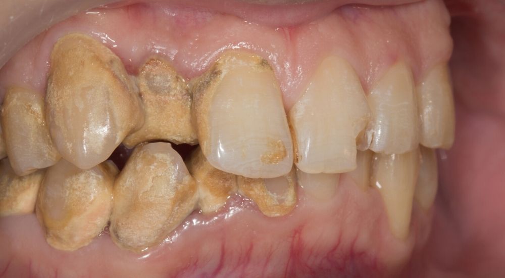
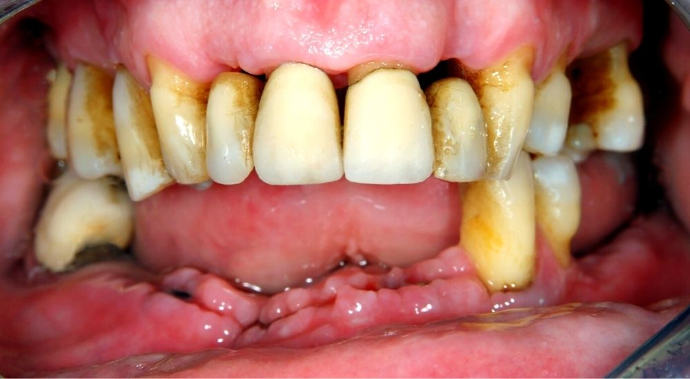
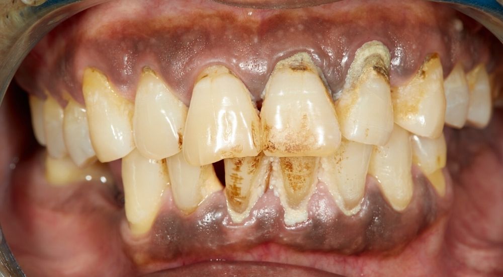
Vôi răng là 1 phức hợp bao gồm: mảng bám, vi khuẩn và những thành phần vô cơ (Canxium Phosphat hoặc Sodium Phosphat). Chúng được tạo ra bằng cách lắng đọng từ từ ngày này qua ngày nọ.
Vôi răng thường bám ở vị trí cổ răng, kẽ răng hoặc ở những vùng mà chúng ta thường không vệ sinh được.
Vôi răng thường có màu nâu đen. Tuy nhiên, ở 1 số trường hợp vôi răng có thể có màu đỏ, vàng, cam, xanh lá đậm.
Vi khuẩn trong vôi răng cũng rất đa dạng. Có thể đó chỉ là 1 tổ hợp vi khuẩn đường miệng bình thường. Tuy nhiên nếu không may, tổ hợp này có thể chứa những vi khuẩn nguy hiểm hơn. Đó có thể là vi khuẩn Porphyromonas gingivalis (Pg), Actinobacillus actinomycetemcomitans (Aa). Những vi khuẩn này gây nên bệnh viêm nha chu hoại tử lỡ loét.

Trước tiên, ai cũng thấy rằng vôi răng gây mất thẩm mỹ.
Ngoài ra, do chứa vi khuẩn nên vôi răng có thể gây nên những tình trạng và bệnh lý khác như:
Tất nhiên, không phải ai có vôi răng cũng sẽ bị những bệnh lý như trên. Nhưng phòng bệnh còn hơn chữa bệnh. Mà thật ra, đa phần các bệnh lý trên đều không thể chữa khỏi hoàn toàn nếu mắc phải. Do đó, cạo vôi định kỳ luôn là giải pháp hữu hiệu nhất và tiết kiệm nhất.

90% các bệnh nhân cạo vôi đều cảm thấy đau hoặc ê buốt ở lần đầu tiên cạo vôi. Nguyên nhân là do:
Tuy nhiên, nếu họ kiên trì và cạo vôi định kỳ thì ở những lần sau cảm giác ê đau sẽ giảm xuống đáng kể. Nguyên nhân là do họ đã quen, do vôi răng ít đi (vì đã cạo lần trước và vì họ siêng chải răng hơn sau khi cạo vôi lần đầu). Mặc khác, họ cũng đã ý thức và nhận thấy được rằng cạo vôi rất có lợi cho họ

Chảy máu khi cạo vôi răng là do viêm nướu. Hiện tượng thường gặp ở những trường hợp sau:
Hiện tượng chảy máu sẽ giảm và mất hẳn sau khi cạo vôi và vệ sinh răng miệng đúng cách. Nếu bạn bị chảy máu nướu khi chải răng hoặc khi ăn thì nguyên nhân có thể do vôi răng bạn nhé. Lúc này, cạo vôi và vệ sinh đúng cách là điều trị phù hợp cho tình trạng của bạn

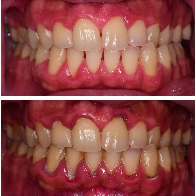
Không bạn nhé. Cạo vôi răng chỉ lấy đi phần vôi răng và mảng bám trên bề mặt của răng.
Ngày nay, cạo vôi răng được thực hiện bằng máy siêu âm.
Độ rung của đầu máy đã được nghiên cứu kỹ lưỡng. Sức rung và cấu tạo của đầu rung chỉ vừa đủ để lấy đi vôi răng mà không gây mòn răng.
Khi vạo vôi lần đầu, bạn sẽ thấy những mảnh giống vôi rơi ra trong miệng. Điều này là hết sức bình thường, đó là vôi răng chứ không phải men răng đâu nhé.

Hầu như bất kỳ ai cũng nên cạo vôi răng. Vì vôi răng được hình thành và lắng đọng ngày này qua ngày nọ. Nếu bạn vệ sinh thật tốt thì vôi răng sẽ ít đi.
Tuy nhiên vẫn có chút đỉnh vôi được hình thành. Nguyên nhân là do trong dịch nướu của mỗi chúng ta đều có thành phần Canxium-phosphat. Những phân tử này sẽ lắng đọng tạo thành vôi răng. Khi vôi răng được tạo thành từ dịch nướu, chúng được gọi là sự tạo vôi răng nội sinh
Như đã nói ở trên, khi có vôi răng thì sẽ có vi khuẩn trú ngụ. Vôi răng là nơi trú ngụ, sinh sôi và phát triển của vi khuẩn. Mà Vi khuẩn thì thường có hại. Do đó, tốt nhất là khi có vôi thì nên cạo vôi bạn nhé.
Theo khuyến cáo của các Hiệp hôi Nha chu trên thế giới. Mọi người nên cạo vôi định kỳ mỗi 6 tháng. Nếu bạn là người có cơ địa viêm nướu hoặc viêm nha chu thì nên cạo vôi mỗi 4 tháng.
Tuy nhiên, trong điều kiện thực tế ở nước ta, chỉ những ai thật sự “siêng” thì họ mới đi cạo vôi mỗi 6 tháng. Đa phần đều chỉ cạo vôi sau khoảng 1-2 năm.
Với thực tiễn nhận thấy khi điều trị cạo vôi răng tại Nha khoa An An Quận 8 HCM cho bệnh nhân. Chúng tôi khuyến cáo mọi người nên cạo vôi khoảng 6 – 12 tháng/1 lần.

Hãy đến các nha khoa uy tín mà bạn biết. Hầu như bất cứ nha khoa nào cũng có dịch vụ cạo vôi răng.
Tuy nhiên, hãy nhớ để ý sự sạch sẽ và quy trình vô trùng tại nha khoa đó. Vì cạo vôi răng là 1 công việc điều trị rất dễ lây nhiễm chéo.
Chi phí cạo vôi răng chỉ dao động từ 150.000 đến 250.000/2 hàm cho khoảng 6 tháng. Chi phí này tính ra còn rẻ hơn chi phí sử dụng điện thoại của mỗi chúng ta. Đừng vì rẻ chút đỉnh mà lựa chọn 1 nơi không đảm bảo an toàn bạn nhé.
Nha khoa An An Quận 8 TPHCM chúng tôi tự hào là 1 nha khoa được trang bị và đầu tư kỹ lưỡng về mặt vô trùng. Quy trình vô trùng của chúng tôi được trang bị theo tiêu chuẩn của Bộ Y tế đề ra. Quy trình và trang thiết bị này đã được Sở Y tế TPHCM thẩm định và phê duyệt.
Đến với Nha khoa An An bạn có thể yên tâm. An toàn – An tâm – chúng tôi là nha khoa của mọi nhà!
LIÊN HỆ
Nha khoa AN AN
2U Nguyễn Thị Tần, phường 2, quận 8, HCM
ĐT: 028 2232 1255
(Đi vào đường lô F cạnh chợ Rạch Ông khoảng 50m)
Sơ đồ đường đi đến Nha khoa AN AN – Quận 8 – TPHCM