Những nội dung chính:
- Trám răng là gì?
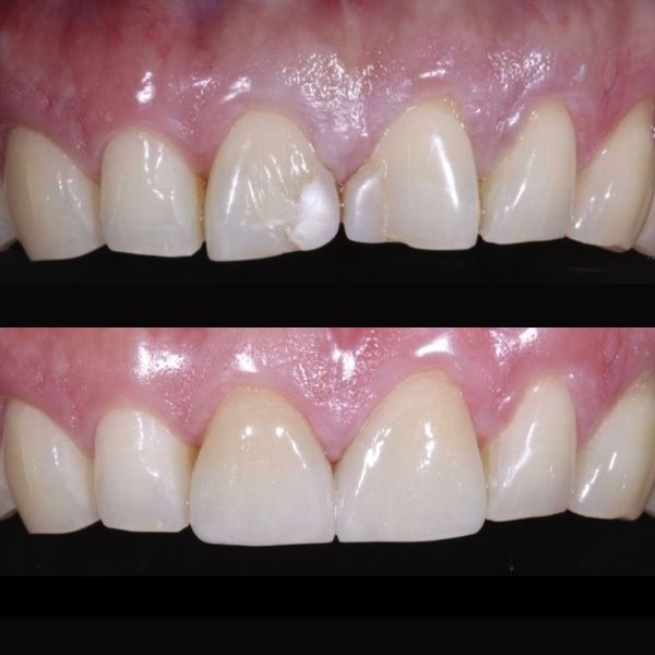
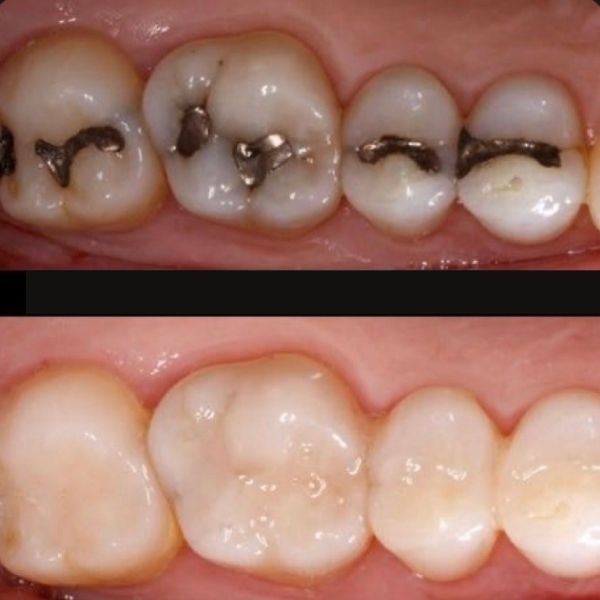
- Trám răng có mấy loại? Trám răng thẩm mỹ là gì?
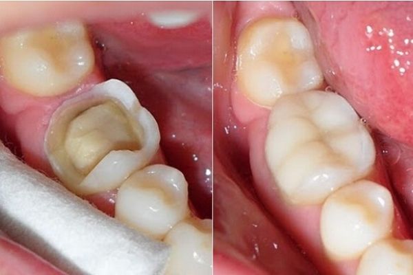
- Khi nào cần trám răng?
- Trám răng có đau không?
- Trám răng sử dụng được bao lâu?
- Sau vài năm, có cần phải tháo ra để trám lại không?
- “Trám răng rồi cũng hư, thôi nhổ cho rồi” – Bạn nghĩ gì về quan điểm này
- Nên trám răng ở đâu tốt?








