Những nội dung chính:
Mặt Dán Răng Sứ Veneer
Nha khoa An An – Dental Care tự hào một trong những phòng khám nha khoa uy tín và chất lượng hàng đầu tại Quận 8. Đội ngũ bác sĩ chuyên môn cao và trang thiết bị hiện đại. Nha khoa An An cam kết đem đến cho khách hàng những dịch vụ tốt nhất. Chúng tôi cam kết mang lại sự hài lòng và tin tưởng cho khách hàng. Trong số những dịch vụ, mặt dán răng sứ veneer là một trong những dịch vụ điều trị nha khoa hiệu quả và được nhiều người lựa chọn.
I. Giới thiệu về mặt dán răng sứ veneer
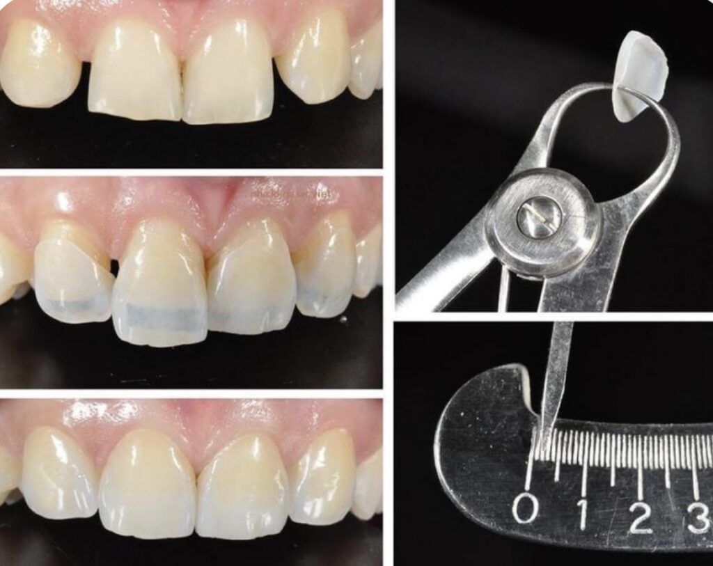
1.1. Khái niệm và cách thức thực hiện mặt dán răng sứ Veneer

1.2. Loại sứ veneer
Có hai loại sứ veneer là sứ Emax-Press và sứ Zirconia. Sứ Zirconia là loại sứ có giá thành rẻ hơn, nhưng độ trong suốt thấp hơn so với sứ Emax-Press. Sứ Emax-Press có giá thành cao hơn nhưng có độ trong suốt cao hơn, thẩm mỹ hơn và giúp tạo nên một nụ cười tự nhiên nhất.
II. Lợi ích của mặt dán răng sứ veneer
2.1. Cải thiện hình dáng răng
Mặt dán răng sứ veneer là giải pháp tuyệt vời để cải thiện hình dáng răng của bạn. Những người có răng bị lệch, bị khuyết hoặc bị biến dạng có thể sử dụng mặt dán veneer để cải thiện hình dáng răng. Veneer được thiết kế để phù hợp với hình dáng, kích thước và màu sắc của răng để tạo nên một nụ cười tuyệt đẹp và tự nhiên.

2.2. Làm trắng răng
Mặt dán răng sứ veneer cũng có thể được sử dụng để làm trắng răng. Veneer có thể được tạo ra với màu sắc trắng hoàn hảo để giúp làm trắng răng và tạo nên một nụ cười sáng bừng.

2.3. Khắc phục các sự cố về răng
Mặt dán răng sứ veneer cũng được sử dụng để khắc phục các sự cố về răng như răng bị nứt, răng bị gãy hoặc răng bị mất. Veneer có thể được thiết kế để phù hợp với răng bị hư hỏng và giúp khắc phục vấn đề một cách dễ dàng và nhanh chóng.
2.4. Giảm đau nhức
Mặt dán răng sứ veneer chủ yếu được sử dụng để cải thiện thẩm mỹ và chức năng của răng, nhưng không phải là giải pháp trực tiếp để giảm đau nhức. Trong trường hợp răng bị hư hỏng nhẹ, như sứt mẻ hoặc men răng bị mòn, veneer có thể bảo vệ bề mặt răng, giảm cảm giác ê buốt. Tuy nhiên, nếu răng bị tổn thương nghiêm trọng hoặc đau nhức do sâu răng hay viêm tủy, cần điều trị vấn đề gốc rễ trước khi thực hiện mặt dán răng sứ veneer.
2.5. Dễ dàng bảo vệ răng
Mặt dán răng sứ veneer cũng giúp bảo vệ răng khỏi các vấn đề như sâu răng và mảng bám. Khi veneer được dán lên răng, nó bảo vệ răng khỏi các tác nhân gây hại và giúp duy trì răng khỏe mạnh.

III. Ưu và khuyết điểm của mặt dán răng sứ veneer so với bọc răng sứ
3.1. Ưu điểm
- Ưu điểm vượt trội: mặt dán răng sứ veneer có nhiều ưu điểm hơn so với bọc răng sứ.
- Quá trình làm răng sứ veneer không cần phải mài răng nhiều. Trong 1 số trường hợp cụ thể thậm chí không cần phải mài răng.
- Không gây đau đớn hay khó chịu cho bệnh nhân.
- Tùy chỉnh linh hoạt: Veneer có thể tùy chỉnh về kích thước, hình dáng và màu sắc.
- Giúp đáp ứng nhu cầu và sở thích của từng bệnh nhân một cách tối ưu.
- Giảm mức độ mài răng:
- Khi lắp đặt veneer, chỉ cần mài bớt một lượng nhỏ răng.
- Điều này vẫn đảm bảo răng đủ mạnh, trong khi bọc răng sứ yêu cầu mài nhiều hơn để tạo không gian.
- Khắc phục hiệu quả: mặt dán răng sứ veneer giải quyết được nhiều vấn đề từ thẩm mỹ đến chức năng.
- Bọc răng sứ thường chỉ dùng trong các trường hợp nghiêm trọng hơn, như răng bị mất hoặc hư hỏng nặng.
3.2. Khuyết điểm
- Khuyết điểm của mặt dán răng sứ veneer:
- Dễ bị vỡ nếu gặp va chạm mạnh. Xét về độ cứng thì Veneer không thể cứng bằng các loại sứ kim loại và sứ zirconia thẩm mỹ
- Khi bị hư hỏng, veneer phải được thay thế hoàn toàn, gây tốn kém và mất thời gian hơn.
- Ảnh hưởng từ chất hóa học:
- Veneer có thể bị tác động bởi các chất tẩy trắng răng.
- Sử dụng quá nhiều chất tẩy trắng có thể làm mất độ bóng và khiến veneer trở nên xỉn màu.
- Độ bền phụ thuộc vào cách sử dụng:
- Veneer không chịu được áp lực quá mạnh, như khi cắn vật cứng.
- Nếu không chăm sóc đúng cách, veneer có thể nhanh chóng xuống cấp.
- Chi phí cao:
- Giá thành của mặt dán răng sứ veneer thường cao hơn so với các phương pháp khác.
- Điều này có thể là rào cản với một số bệnh nhân.
- Không phù hợp với tất cả trường hợp:
- Veneer không phải lựa chọn tối ưu cho răng bị tổn thương nặng hoặc mất răng.
- Phương pháp này phù hợp hơn với các vấn đề thẩm mỹ nhẹ.
- Yêu cầu tay nghề cao của bác sĩ:
- Để đạt được kết quả tốt, cần bác sĩ có kỹ thuật và kinh nghiệm cao.
- Nếu thực hiện không đúng cách, veneer có thể bị hỏng hoặc không tự nhiên.

IV. Nha khoa An An và dịch vụ mặt dán răng sứ veneer
-
Nha khoa An An – Địa chỉ uy tín:
- Là một trong những cơ sở hàng đầu trong khám và điều trị các vấn đề răng miệng.
- Sở hữu đội ngũ bác sĩ và nhân viên giàu kinh nghiệm, tận tâm với bệnh nhân.
- Cung cấp nhiều dịch vụ chất lượng cao như Implant, niềng răng/chỉnh nha, răng sứ zirconia toàn sứ và mặt dán răng sứ veneer.
-
Quy trình thực hiện mặt dán răng sứ veneer tại Nha khoa An An:
- Kiểm tra và tư vấn:
- Bệnh nhân được kiểm tra sức khỏe răng miệng kỹ lưỡng.
- Bác sĩ đánh giá tình trạng răng để đảm bảo đủ khỏe cho việc làm veneer.
- Lắng nghe mong muốn và nhu cầu của bệnh nhân về kết quả điều trị.
- Lấy dấu răng và thiết kế veneer:
- Bác sĩ tiến hành lấy khuôn răng để tạo mô hình 3D chính xác.
- Từ mô hình này, veneer được thiết kế tỉ mỉ để đảm bảo phù hợp với răng bệnh nhân.
- Chuẩn bị và lắp đặt veneer:
- Răng được làm sạch và chuẩn bị kỹ lưỡng trước khi gắn veneer.
- Veneer được dán trực tiếp lên răng bằng keo chuyên dụng, đảm bảo độ bền và thẩm mỹ.
- Sau khi hoàn tất, veneer mang lại nụ cười trắng sáng, đều màu và tự nhiên cho bệnh nhân.
- Kiểm tra và tư vấn:
Quy trình làm veneer cũng tương tự quy trình chung khi làm răng sứ, nhưng thời gian hoàn thiênn sẽ lâu hơn do các chi tiết của răng Veneer rất mỏng và nhỏ, đòi hỏi sự chỉnh chu và khéo léo từ mọi khâu.

- Dịch vụ khác tại Nha khoa An An:
-
- Bọc răng sứ cho răng hư hỏng hoặc cần cải thiện thẩm mỹ.
-
- Niềng răng để điều chỉnh khớp cắn và cải thiện thẩm mỹ răng.
- Trồng răng giả tháo lắp, giải pháp cho bệnh nhân bị mất răng.
- Nhiều dịch vụ khác để đáp ứng tối đa các nhu cầu về răng miệng của bệnh nhân.

V. Kết luận
Trên đây là một số thông tin về mặt dán răng sứ veneer và các lợi ích và khuyết điểm của việc sử dụng veneer so với bọc răng sứ. mặt dán răng sứ veneer là một giải pháp tuyệt vời cho những người muốn có một nụ cười đẹp và tự tin mà không cần phải mài bớt quá nhiều răng. Tuy nhiên, như đã đề cập, veneer cũng có những khuyết điểm và việc lựa chọn giữa veneer và bọc răng sứ còn phụ thuộc vào tình trạng răng của từng bệnh nhân và mong muốn của họ.
Nếu quý vị đang quan tâm đến việc sử dụng mặt dán răng sứ veneer hoặc muốn tìm hiểu thêm về các dịch vụ khác của nha khoa An An, quý vị có thể liên hệ với chúng tôi để được tư vấn và hỗ trợ tốt nhất.
LIÊN HỆ
Nha Khoa An An – Dental Care
Địa chỉ: 77D Dương Bá Trạc, Phường Chánh Hưng, TP. Hồ Chí Minh
Điện thoại: 028 2232 1255
Hotline: 0966 580 657
Email: nhakhoaanan@gmail.com
Ghé thăm Fanpage Facebook của Nha Khoa An An
