Bài viết tổng hợp
Nha khoa An An quận 8 chợ Rạch Ông, Nguyễn Thị Tần
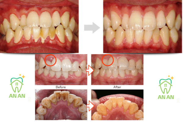
Dán Sứ Veneer Có Đau Không? Giải Pháp Thẩm Mỹ Răng Hiện Đại
Dán Sứ Veneer Có Đau Không? Giải Pháp Thẩm Mỹ Răng Hiện Đại Dán sứ [...]
Trám Răng Có Đau Không? Trải Nghiệm Thực Tế Từ Khách Hàng Kèm Clip Review
Trám răng có đau không là câu hỏi mà rất nhiều người đặt ra trước [...]
Trồng răng Implant Quận 8 – Giải pháp phục hồi răng an toàn
Hiện nay, trồng răng implant quận 8 là một trong những phương pháp được nhiều [...]
Tháo niềng răng sau 2 năm: Nụ cười có giữ được lâu dài?
2 năm sau tháo niềng răng: Nụ cười có giữ được đẹp lâu dài? Niềng [...]
Cạo Vôi Răng Bằng Máy Siêu Âm Có Tốt Không? Có Đau Không?
Cạo vôi răng bằng máy siêu âm hiện nay là phương pháp làm sạch răng [...]
Trám Răng Đau Không? Giải Đáp Chi Tiết Từ Bác Sĩ
Trám răng đau không? Đây là câu hỏi mà hầu hết khách hàng đều thắc [...]
Lấy Vôi Răng (Cao Răng) Tại Quận 8 – Uy Tín, An Toàn, Chi Phí Hợp Lý
Việc lấy vôi răng (cao răng) tại quận 8 là bước cần thiết để bảo [...]
Nha Khoa Tẩy Trắng Răng Tại Quận 8 – Dịch Vụ An Toàn, Hiệu Quả
Để có một nụ cười trắng sáng và tự tin, bạn cần lựa chọn một [...]
Răng Sứ Có Bền Không? Bí Quyết Duy Trì Răng Sứ Lâu Dài
Làm răng sứ thẩm mỹ là xu hướng phổ biến giúp mang lại nụ cười [...]
Nhổ Răng Sâu Quận 8 Có Đau Không? Hướng Dẫn Chi Tiết Từ Bác Sĩ
Răng sâu là một trong những nguyên nhân phổ biến gây đau nhức và ảnh [...]
